前歯で印象が変わる
石神井公園駅北口徒歩1分、歯周病専門医インプラント認証医、たけのうち歯科クリニックの 竹之内です。当院は、歯周病・インプラント・審美歯科・予防歯科に積極的に取り組んでおります。
前歯は人の印象をかなり左右しますよね。
実際、前歯の色調や歯並びを気にして、歯を見せて笑うことができない方がいるのも事実です。
前歯の色調悪化の原因は、プラーク・煙草のヤニ・茶渋などの付着物や歯の形成期に服用した抗生物質(テトラサイクリン)が原因の変色(テトラサイクリン歯)や虫歯などがあります。
これらは、患者さんの生活習慣や口腔ケアが要因になります。
一方で、私達歯科医師が行った治療のクオリティーが、前歯の色調を左右することがあります。
下の写真は、向かって左の前歯一本にクラウン(⇓)が装着されています。
⇓
右側の天然歯と色調や形態が違うために、明らかに被せてあるのがわかる状態です。
あまり気にならない方もいるかもしれませんが、女性の方はすごく気になると思います。
色調を合わせるのは、前歯6本のクラウンを同時に作製するより、1本を作製する方が困難とされています。
6本のクラウンの色調は同じように作製すれば自ずと合いますが、1本の場合は対照になる歯が存在するため、その対照歯にぴったり合わせなくてはならないからです。
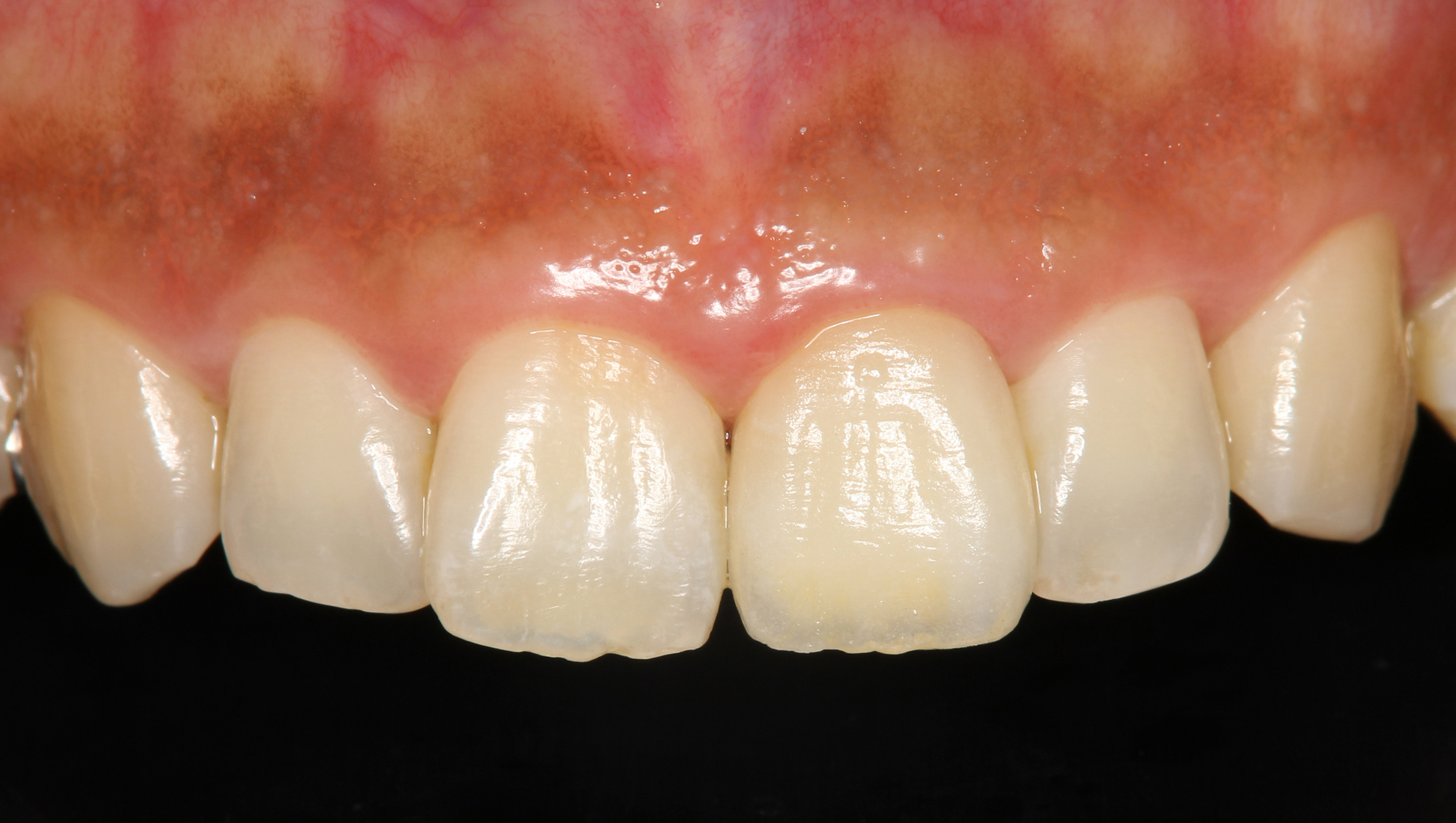
下の写真は、先日ジルコニアセラミックスクラウン(⇓)をSETした患者さんです。
⇓
反対側の前歯(同名歯)と色調や形態が近似しているので、とても自然な仕上がりになっていると思います。
クラウンなのか天然歯なのか見分けがつかないような治療が最も審美的。
何色ものセラミックスを築盛してこのようなクラウンを作製するわけですが、どれだけ審美的なクラウンができるかどうかは、歯科技工士の技術力が重要になってきます。
ですから、患者さんは勿論のこと、自分が満足できるクラウンを作製してもらえる歯科技工士と一緒に仕事をしています。
保険と自費のクラウンでは使用する材質が違うために質感や耐久性に違いはありますが、
どのような治療をするにしても、その方の印象を左右する前歯の治療は、できるだけ自然できれいなクラウンを作製することを目指しています。
カテゴリー:治療例 ,審美歯科治療 投稿日:2011年10月9日









