ブラッシング圧には注意です
石神井公園駅北口徒歩1分、歯周病専門医インプラント認証医、たけのうち歯科クリニックの竹之内です。当院は、歯周病・インプラント・審美歯科・予防歯科に積極的に取り組んでおります。
雪がすごいですね!
何度か滑りそうになりながら、なんとか自転車で帰ってきました・・・
明日の朝は凍結しそうなので、皆さん注意してくださいね。
お口の中に、歯肉が下がっている(歯肉退縮)歯はありませんか?
歯肉が下がってしまう原因には色々あります。
歯周病・ブラッシングの力(ブラッシング圧)が強い・加齢・歯肉や歯槽骨が薄い・歯の位置的な問題・矯正治療の影響などです。
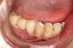
写真は、下顎奥歯のブリッジの支台歯(ブリッジの土台になっている歯)に虫歯ができてしまったため、ブリッジを除去し虫歯の治療を行った後に、新しいブリッジを作ることになった患者さんです。
支台歯周囲の歯肉が退縮し、歯根が露出しているのが認められます。
露出した歯根面は、知覚過敏もあり、虫歯やプラークコントロールのことも考慮して、クラウンで覆うことにしました。
写真は、ブリッジを除去し虫歯治療を行い、ブリッジの仮歯を装着した状態です。
これにより知覚過敏もなくなり、プラークコントロールもしやすい環境になりました。
そして、噛みあわせや歯肉の調整を行った後に、最終的なブリッジを作製しました。
メタルセラミックスのブリッジを装着した状態です。
歯とクラウンの境目が見えないように調整していますので、自然な仕上がりになっています。
今後は、この状態を維持できるよう歯肉退縮を起こさせないことが必要ですね。
特にブラッシング圧には注意です。
当院では、ブラッシング圧を数値化して確認してもらいます。
普段のブラッシング圧と理想的なブラッシング圧の差に驚かれる方も多いですよ。
カテゴリー:歯周病治療 ,治療例 ,審美歯科治療 投稿日:2011年2月14日



    





