年: 2010年
本日開院しました!
ただいま開業出航中、石神井公園北口 たけのうち歯科クリニックの竹之内です。 本日開院致しました!! 開業場所を決めるところから始まり、内装や機器の選定、スタッフの採用や教育など、開業に向けて多くの準備をして … “本日開院しました!” の続きを読む
内覧会2日目
ただいま開業準備中、石神井公園北口 たけのうち歯科クリニックの竹之内です。 天候にも恵まれ、2日間開催した内覧会も無事終了しました。 今日も大勢の方に来て頂き、ありがとうございました!知り合いの先生や友人だけでなく、30 … “内覧会2日目” の続きを読む
内覧会1日目
ただいま開業準備中、石神井公園北口 たけのうち歯科クリニックの竹之内です。 本日は、内覧会1日目でした。 最初は、どのくらいの方に来ていただけるのか正直不安でしたが、休日にも関わらず、多くの方に来ていただき感激しました! … “内覧会1日目” の続きを読む
いよいよ内覧会です!
ただいま開業準備中、石神井公園北口 たけのうち歯科クリニックの竹之内です。 いよいよ明日からの2日間は、内覧会を開催します!! 来ていただいた方にわかりやすいように、スタッフと診療機器等の案内を作成しました … “いよいよ内覧会です!” の続きを読む
医院の看板
ただいま開業準備中、石神井公園北口 たけのうち歯科クリニックの竹之内です。 いよいよ内覧会も間近になってきました。 どのくらいの方に来て頂けるのかわかりませんが、来て頂いた方に、当医院の特長をわかりやすく紹介できるよう準 … “医院の看板” の続きを読む
祝!
ただいま開業準備中、石神井公園駅北口 たけのうち歯科クリニックの竹之内です。 今日は春らしい陽気でしたね。 今日は、大学時代のバスケ部後輩の結婚式に行ってきました。竹芝にあるインターコンチネンタルホテルであったのですが、 … “祝!” の続きを読む
内覧会のご案内
ただいま開業準備中、石神井公園北口 たけのうち歯科クリニックの竹之内です。 本日は、親戚の方々が医院の見学に来てくれました。 遠方にもかかわらず、大勢で来ていただきありがとうございました! 最近は、ゆっくりお話をする機会 … “内覧会のご案内” の続きを読む
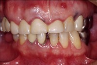
歯周病治療とは・・・
ただいま開業準備中、石神井公園北口 たけのうち歯科クリニックの竹之内です。 私は大学卒業後、母校の大学病院の歯周病科に7年間在籍し、現在も非常勤として時々診療をしに大学病院に行っています。 歯周病科では、開業医から紹介で … “歯周病治療とは・・・” の続きを読む
バスケットボール
ただいま開業準備中、石神井公園駅北口 たけのうち歯科クリニックの竹之内です。 今日は春らしい陽気でしたね。 昼間は準備のため医院に行って、夜は久しぶりにバスケの練習試合に参加してきました。 相手チームは、高校バスケ部のO … “バスケットボール” の続きを読む
たけのうち歯科クリニック ロゴマーク
ただいま開業準備中、石神井公園駅北口 たけのうち歯科クリニックの竹之内です。 今日は、たけのうち歯科クリニックのロゴマークを紹介したいと思います。 先日、医院の入り口にもロゴマーク入りの看板が設置されました。   … “たけのうち歯科クリニック ロゴマーク” の続きを読む









