歯の破折
石神井公園駅北口徒歩1分、歯周病専門医インプラント認証医、たけのうち歯科クリニックの竹之内です。当院は、歯周病・インプラント・審美歯科・予防歯科に積極的に取り組んでおります。
本日は、大学病院で診療を行ってきました。メインテナンスで3ヵ月ぶりに会う患者さんもお元気そうで、口腔内も健康的な状態が維持されており安心しました。また12月にお会いしましょう!
今日は、歯の破折についてお話をしたいと思います。
歯が割れてしまう原因は色々ありますが、
・虫歯や根管治療による歯の脆弱化
・歯ぎしりなどのかみ合わせによる過重
・横転や事故などによる受傷
が多いと思います。
この患者さんは、前歯の被せ物(クラウン)が取れてしまったとの事で来院されました。
見ると、歯の根元から歯根を残して破折しており、神経が露出している状態でした。
他院で応急処置を受けてからの来院でしたので、脱離した被せ物がなく詳細は不明ですが、おそらく被せ物と歯の境目からの虫歯により歯がもろくなり、破折してしまったと考えられます。
破折の位置や状態によっては、保存不可能で抜歯せざるをえない時もありますが、今回は歯根が無事であったために保存することができました。
歯髄炎の症状があったため根管治療を行い 、クラウンを被せるために土台を装着しました。
先程のような状態の歯根にクラウンを装着しても、維持力がないためすぐに脱離してしまいますが、土台を装着することで回避できます。
ファイバーコア(グラスファイバーの土台)を装着し、クラウンの型取りを行う前の状態です。
破折直後に見られた歯肉の炎症もなくなり、これなら大丈夫ですね。
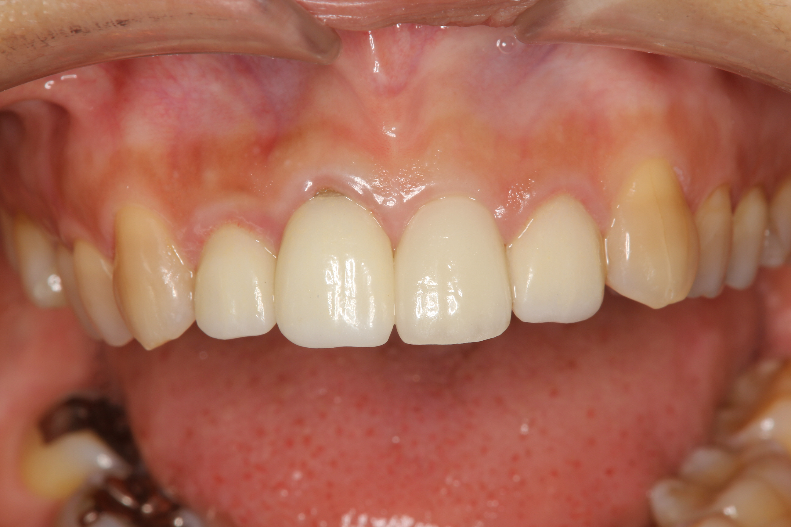
オールセラミックスクラウン装着後です。
もともと装着されていた周囲のオールセラミックスクラウンに色や形態を合わせて作製しました。
患者さんも最初はどうなるのか心配されていたと思いますが、歯根が保存可能であったためにここまで回復することができました。
歯の破折による抜歯は中高年で増えてくる傾向にあり、抜歯の理由では歯周病と並んで多くなっています。
偶発的な事故による破折は致し方ありませんが、歯が破折をしないような治療が重要だと思います。









