奥歯のインプラント
ただいま開業準備中、石神井公園駅北口 たけのうち歯科クリニックの竹之内です。
この患者さんは30代の女性ですが、奥歯の虫歯が進行し、噛んだときに歯が割れてしまい、保存不可能ということで抜歯せざるをえませんでした。
写真は奥歯を抜歯して治ったところです。このように奥歯が無くなってしまうと、両隣に歯があればブリッジも可能ですが、通常は入れ歯を装着することになります。
しかし、この方は若い女性で、入れ歯をいれることに患者さんも私も抵抗がありました。
現在は、できるだけ入れ歯だとわからないようなものを作ることができますが、若い女性にとっては受け入れがたいものだと思います。
そこで、患者さんと相談してインプラント治療を行うことになりました。
CTやレントゲンでの検査後に、インプラントの手術を行いました。
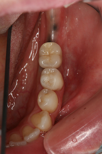
そして、インプラントと骨がしっかり結合した後に、インプラント上部構造(クラウン)を装着しました。手前の銀歯も治したいということで治療を行いました。
治療後の写真です。
「奥歯ができて、しっかり噛めるようになって良かった」と言って頂きました。患者さんは、インプラントの治療に不安な気持ちもあったと思いますが、最後まで頑張ってついてきてくれました。
お疲れさまでした!あとはしっかりメインテナンスしていきましょうね!
カテゴリー:治療例 ,インプラント治療 投稿日:2010年3月17日









