過剰歯の移植により、インプラントやブリッジを回避
石神井公園駅北口徒歩1分、歯周病専門医/指導医、インプラント専修医、医)竹和会 たけのうち歯科クリニックの竹之内です。当院は、歯周病・インプラント・審美歯科・予防歯科に積極的に取り組んでおります。
過剰歯が偶然にも存在していたことで、ブリッジやインプラントといった歯の欠損治療を回避することができた治療の紹介です。
来院した時はまだ10代の患者さんでしたが、むし歯が多く、左上の2本の小臼歯にもむし歯が認められ、後方の第2小臼歯は歯髄(神経)に達する程進行していました。そして、内側には過剰歯が存在していました。
まずは、前方の第1小臼歯はむし歯を除去しセメントを仮充填、第2小臼歯は既に歯髄が壊死していたため、根管治療を行っていきました。
下の写真は治療中のものです。
反対側の第2小臼歯にも進行したむし歯が認められ、エックス線写真を見ると、むし歯が歯冠だけでなく歯根の方にまで進行しており、感染歯質を除去するとほとんど歯が残らない状態であったため、抜歯せざるを得ないと判断しました。
抜歯をする前に、抜歯後どのような治療が望ましいか、検討するべきか、を必ず考えてから抜歯を行っていきますが、
この患者さんは若く、欠損治療のために歯を削りたくない、今後の歯列の変化に対応できるようにしたい、矯正治療もできるようにしておきたい、そして何といっても抜歯予定の歯の形態に近い過剰歯があるといった理由から、歯の移植を提案させていただき、当院の患者さんでもある親御さんも了承していただいたので、移植治療を進めていきました。
右上の第2小臼歯を抜歯し、ドナー歯である左上の過剰歯がソケットに収まるように骨の形態を調整し、
歯根膜の損傷に気を付けながら抜歯した過剰歯を
下の写真のように抜歯したソケットに移植しました。
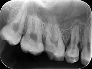
レントゲン写真は移植直後のものです。
移植後、約1ヵ月程してから根管治療を開始し、下の写真のように根管充填を行いました。写真は、移植後5ヵ月のものですが、この時点で、移植歯周囲の歯槽骨や歯根膜腔はほぼ正常像になっています。
移植歯の後方の第1大臼歯に根尖病変が認められたため、その後根管治療を行いました。
咬合力も強く、破折リスクも高いと考えられたため、移植歯や神経を除去している歯(失活歯)にはクラウンを装着しました。今回はジルコニアクラウンを使用しています。
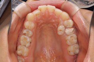
写真はクラウン装着後です。移植から約1年半経過しています。(左右の親知らずはその後に抜歯しています)
過剰歯を有効利用することで、右上の欠損をインプラントやブリッジを装着することなく回復できただけでなく、過剰歯がなくなり、左上(写真だと右上)のプラークコントロールはしやすくなりました。これこそ一挙両得ですね。
今回の歯の移植にかかった費用は、移植75,600円、根管治療43,200円、ジルコニアクラウン73,700円です。
移植歯は、歯根吸収を起こしたり、天然歯ですのでむし歯になったりすることもあります。文献によって多少の違いはありますが、お口の中で機能しているという基準で言えは、5年生存率は約90%です。インプラントよりは若干劣りますが、大きな差はないと言えます。
形が決まっているインプラントと違って、様々な形態の歯をソケットに適合するように移植するのは簡単ではありませんが、治療によって患者さんにもたらされる恩恵は計り知れないものがあると思い、当院では積極的に取り組んでおります。




















