歯の移植治療
石神井公園駅北口徒歩1分、歯周病専門医/指導医、インプラント専修医、医)竹和会 たけのうち歯科クリニックの竹之内です。当院は、歯周病・インプラント・審美歯科・予防歯科に積極的に取り組んでおります。
当院では、歯を失った部位に対する歯の移植を積極的に行っており、先日も親知らずの移植を行いました。
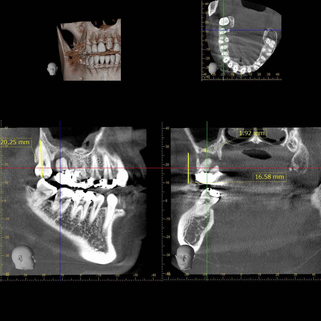
下の写真で左から2番目のクラウンが装着されている歯(第2大臼歯)ですが、デンタルエックス線写真やCTを見ると、根の先まで周囲の骨が吸収しているのが確認できます。
この状態では保存不可能なため、抜歯を行い、その後ろにある親知らずを移植する計画を立てました。
移植をするにあたって、抜歯した部位(受容床)のソケット(骨にできた穴)の調整が必要になるので、移植歯の試適用レプリカを作製しました。
左がレプリカで、右は移植する実際の歯です。CTデータを基に作製していますので、形はかなり近いものになります。
レプリカを受容床の形成の時に用いることで、移植歯の歯根膜を損傷するリスクを減らしたり、抜いた移植歯を可及的速やかに受容床に設置することができ、歯根膜の活性がより高い状態で移植を完了することができると思いますので、最近ではレプリカを用意するケースが多くなりました。
マイクロスコープとピエゾを使用して、上顎洞に穿孔しないように注意しながら受容床の形成を行い、
下の写真のように移植歯を設置しました。
奥にあった親知らずが、予後不良で抜歯した部位に移植されているのがわかると思います。
先日、移植した歯の根管治療を開始したのですが、現在まで経過は良好です。
これからまだ少し治療は続きますが、一つ一つ治療をしっかり行っていけば、いい結果が得られると思います。
カテゴリー:治療例 ,歯の移植 投稿日:2017年10月8日















