天然歯の重要性(歯周病専門医として)
石神井公園駅北口徒歩1分、歯周病専門医/指導医、インプラント専修医、医)竹和会 たけのうち歯科クリニックの竹之内です。当院は、歯周病・インプラント・審美歯科・予防歯科に積極的に取り組んでおります。
「歯の移植」という治療は知らない患者さんも多いと思いますが、インプラントには存在しない歯根膜を有する天然歯を欠損部の回復に利用できるという素晴らしい方法だと考えます。
なかなか積極的に行っているクリニックが少ないこともあり、先日も、20年程前に歯の移植を行ったところが気になるので診てもらいたいと遠方から患者さんが来院されました。
下の患者さんは先週オペを行ったのですが、歯が垂直的に破折してしまい抜歯を余儀なくされた若い患者さんです。
一番奥の歯ですので、ブリッジでの対応はあまり望ましくなく、通常であればインプラント治療を検討しますが、患者さんの年齢が若く、余っていた親知らずがあり、歯の形態も移植可能でしたので、患者さんと十分話し合い、移植治療を行うことになりました。
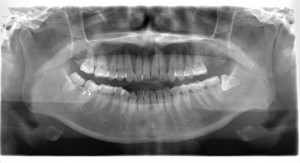
左上の第2大臼歯(写真では向かって一番右上)の欠損部に、右下第3大臼歯(親知らず)(写真では向かって一番左下)を移植します。
移植歯である親知らずをしっかり骨内に埋める必要があるので、術前にCTを撮影し、
埋入位置はどの辺りで、欠損部の骨の形態はどのように調整する必要があるか等、処置が滞りなく進められるよう十分に検討して臨みます。
抜歯した親知らず
術前の検査で予測していた通り、抜歯した穴の途中に親知らずが接触してしまって、埋入したい位置まで入らなかったので、
超音波の骨切削器械とオステオトームを用いて、抜歯した周囲の骨形態を調整し、計画した位置に埋入することができました。
術後の痛みや腫れも軽度で、経過は良好です。
ただこれで終わったわけではなく、3週間程してから根の治療を開始し経過を見ていきます。治療のステップをしっかり踏んで、患者さんに満足していただけるような結果を出したいと思います。
歯の移植は予後が良くないと考えている先生もいらっしゃいますが、文献上では術者や患者さんの条件によって大分ばらつきがあります。
現在、この患者さん以外にも移植の治療中の方が何人かいらっしゃいますし、既に治療が終わり良好に経過している方も多くいらっしゃいます。インプラントに勝るとも劣らないこの治療法の有用性を知っていただくために、また紹介させていただきたいと思います。


















