ホワイトニングとダイレクトボンディング
石神井公園駅北口徒歩1分、歯周病専門医 インプラント認証医、医)竹和会 たけのうち歯科クリニックの竹之内です。当院は、歯周病・インプラント・審美歯科・予防歯科に積極的に取り組んでおります。
上顎前歯は、その方の印象を左右する大事な要素の一つです。
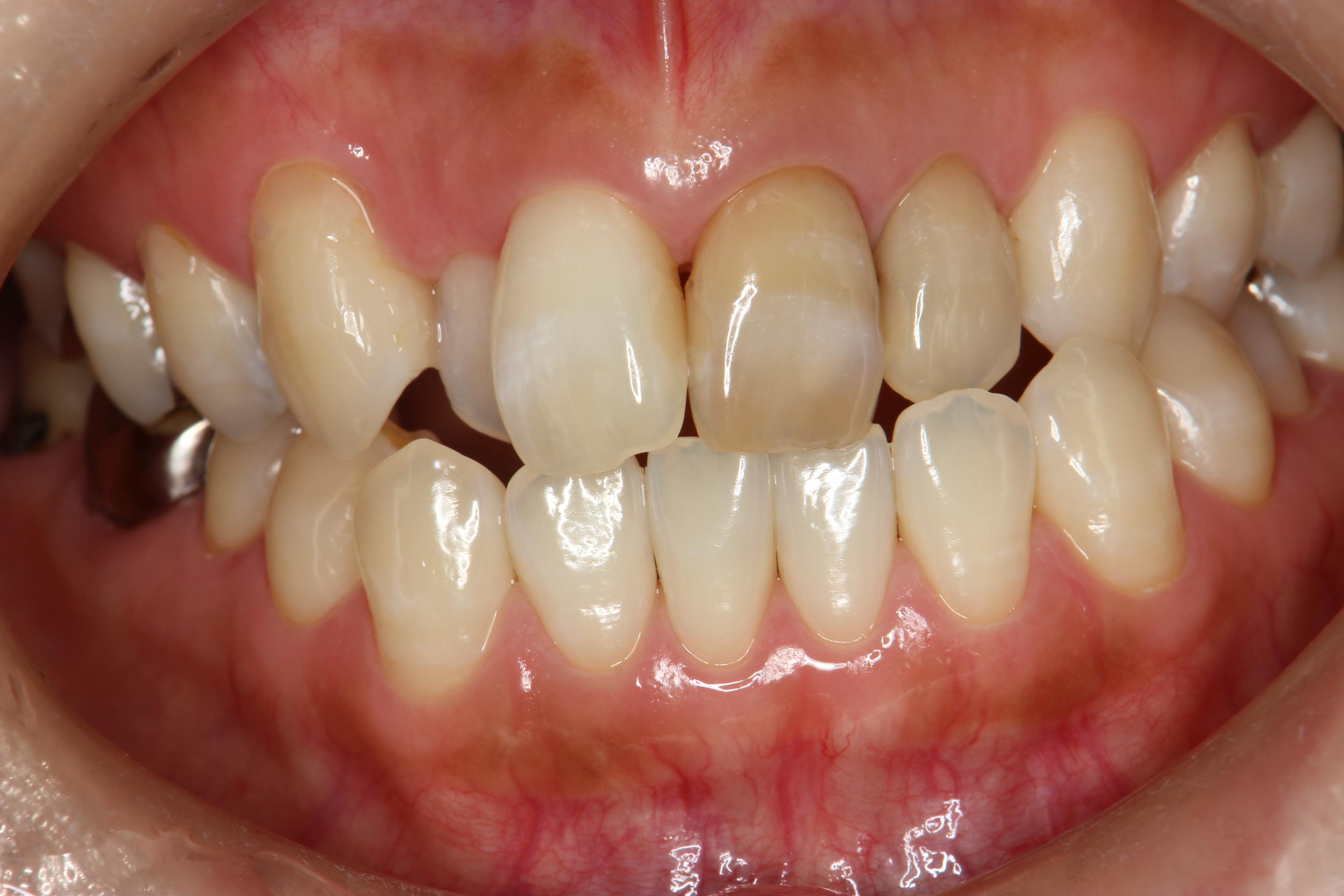
下の写真は、若い女性の患者さんですが、上の2本の前歯が変色をしているのをとても気にされておりました。
大分前に神経を除去したそうですが、周囲の歯と比べて大分色の違いがある状態でした。
このような場合、歯を削ってクラウンやラミネートべニアを装着して改善することも考えられますが、
なるべく歯を削ることなく改善する方法として、ウォーキングブリーチがあります。
神経を取っている歯にしか行うことができませんが、以前削った歯の裏側の部分を再度削り歯冠の内部にホワイトニング材を置き、1~2週間ほど作用させて歯の漂泊をするという方法です。
ウォーキングブリーチ後が下の写真です。
歯の色は周囲の歯と調和するぐらいに改善することができたと思います。
その後、歯と歯の間にできたむし歯治療の際に詰めたコンポジットレジンの変色が残っているので、その部分の修正を行いました。
正中(真ん中)にあるオレンジ色に見ている部分ですが、レジンの変色はウォーキングブリーチで漂泊することはできないので、ウォーキングブリーチ後に白くなった歯の部分と色のギャップが出てくることがあるのです。
下の写真は、コンポジットレジンを新たに充填しなおした状態です。
正中に認められた変色も改善しています。
ウォーキングブリーチとダイレクトボンディングを組み合わせることで、はじめに掲載した治療前の写真と比較して、その違いは一目瞭然です。
その方の印象を決めるといっても過言ではない前歯部の治療は、とても重要と考えております。
カテゴリー:治療例 ,審美歯科治療 投稿日:2016年3月13日












